Orthopädisches Therapiezentrum
Zurück

Sprechzeiten

Montag
07:30 - 12:00
15:30 - 18:00
Dienstag
07:30 - 12:00
15:30 - 18:00
Mittwoch
07:30 - 12:00
13:00 - 14:00 PRT
in der Asklepios-Kinik
Donnerstag
07:30 - 12:00
15:30 - 18:00
Kindersprechstunde
Freitag
07:30 - 12:00

und nach Vereinbarung

Offene Sprechstunde
Besucher
kinderSprechstunde.jpg

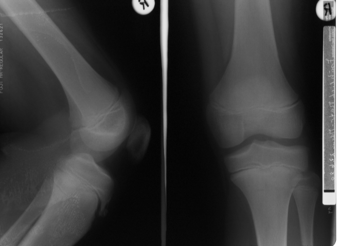
Morbus Osgood Schlatter

Bei dem Morbus Schlatter handelt es sich um eine Erkrankung, welche bei Jugendlichen im Alter zwischen 14 bis 16 Jahren abläuft. Es handelt sich um eine Verknöcherungsstörung des Ansatzbereiches der Kniescheibensehne am Schienbeinkopf. Der Ansatzbereich der Sehne verwächst nicht mit dem Schienbein, so daß hier ein isolierter Knochenkern bestehen bleibt.

Dies führt zu einer Verdickung, welche bei stärkerer sportlicher Belastung und insbesondere beim Knien schmerzhaft sein kann.

Die Diagnose wird gestellt durch den typischen lokalen Untersuchungsbefund und ein Röntgenbild.


Schlatter DSCF3331
Eine spezielle Behandlung ist außer bei stärkeren Schmerzen normalerweise im Wachstumsalter nicht erforderlich. Eventuell muß die Belastung an die Beschwerden angepaßt werden und die sportliche Betätigung reduziert werden.
Nach abgeschlossenen Wachstum kommt die Erkrankung normalerweise zum Stillstand und verursacht keine weiteren Beschwerden.

Durch die Verdickung am Schienbeinkopf kann es jedoch beim Knien zu lokalen Schmerzen kommen. Auch kann eine Überlastung der Kniegelenke, insbesondere beim Treppensteigen zu einer Knochenhautentzündung der Kniescheibensehne führen.

Eine ursächlicher Behandlung der Erkrankung ist nicht möglich, außer, man entfernt operativ den freien Knochenkern aus der Sehne.

An konservativen Behandlungsmöglichkeiten können physikalische Maßnahmen mit Ultraschall und Reizstrom durchgeführt werden. Zusätzlich Eisauflagen und lokale Salbeneinreibungen.

Eine Dehnung der Oberschenkelmuskulatur kann durch Verminderung der Spannung der Kniescheibensehne ebenfalls schmerzlindernd sein. 
  • SchlatterSONO1
  • SchlatterSONO2
  • SchlatterSONO3
  • Schlatter